少し歯の色の濃いタイプ症例をお出ししました。
しかし、どれもものすごい短期間でホワイトニング終了できています。どれも従来のホームホワイトニング単独法ならば、3-4カ月かかる症例ばかりです。
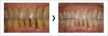
Case-1 トータルホワイトニング21日目26歳 男性

Case-2 トータルホワイトニング21日目33歳 男性

Case-3 トータルホワイトニング27日目47歳 女性

少し歯の色の濃いタイプ症例をお出ししました。
しかし、どれもものすごい短期間でホワイトニング終了できています。どれも従来のホームホワイトニング単独法ならば、3-4カ月かかる症例ばかりです。


