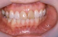
他院で正中の2本のラミネートベニアをやっていただいたのですが、接着の失敗でこのように見た目が悪くなってしまっています。

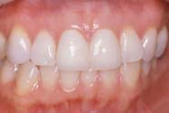
これを当院で、まずホワイトニングを行い歯の色を整えてから問題の出ていた前歯の部分を新しいラミネートベニアで治療しました。同じ患者様とは思えないくらい綺麗な歯になることができました。歯には自然さがあり、この施術で素敵なスマイルラインが蘇った。

ホワイトニングは歯の色をから色相(色の種類のことです)を減らすことで、明度(色の明るさ)が上がり、結果的に色も合わせやすくなります。ですから、前歯の不調和があるときにはホワイトニング治療は非常に有効な手段になります。
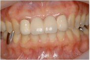
下図参照 他院で前歯4本を入れたが色が白すぎて調和しなかった。ホワイトニングでこれを改善したかった。

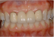
トータルホワイトニングで施術した結果、14日で上図のように以前のブリッジよりもやや明るい状態に歯の色を明るくさせることができた。

ホワイトニングだけで変色を完全にコントロールできない症例が出てきます。そうした場合に最小限の処置で大きな変化をもたらせるのはエステティックレジンを使用してレジンベニアを施術する方法が推奨されます。


松風ビューティーコートにて歯のコーティング治療例

※レジンベニアは最近のレジンの物性の向上に基ずいて開発された治療法ですが、通常の保険診療用のレジンでは早期の変色と艶の無さから、特に物性の優れた自費診療用の特殊レジンを使用しています。 これも歯磨で徐々に艶が消失してきますが、表面の研磨治療によって艶を取り戻すことができます。 最終的には、セラミックベニアなどの治療も検討されます。

